Especialista e Mestre em Ortodontia, Doutor em Biologia Oral.
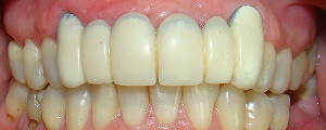
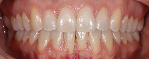
Antes, o medo e a insegurança escondiam seu sorriso. Com nosso tratamento e nossos dentistas responsáveis, a confiança e a autoestima renascem. Volte a se ver no espelho com orgulho e leveza.
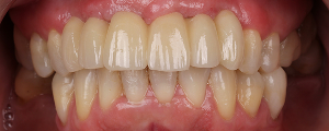
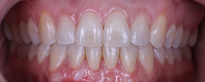
Antes, o medo e a insegurança escondiam seu sorriso. Com nosso tratamento, a confiança e a autoestima renascem. Volte a se ver no espelho com orgulho e leveza.
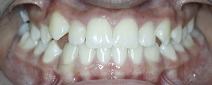
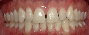
Antes, o medo e a insegurança escondiam seu sorriso. Com nosso tratamento, a confiança e a autoestima renascem. Volte a se ver no espelho com orgulho e leveza.

Mais de 35 anos em Atendimento Odontológico
Somos uma empresa que respira odontologia em sua alma. Praticamos uma odontologia com muito amor, qualidade e ética, utilizando os melhores materiais disponíveis no mercado nacional e internacional com o capricho que cada caso exige.
Para nós, Odontologia é uma ciência que alia conhecimento científico com habilidades, numa evolução constante e progressiva e que deve ser realizada com muito bom senso. Somos apaixonados pelo que fazemos e nosso compromisso é a satisfação plena dos nossos clientes.
Na AGS, reunimos o que há de mais moderno e eficiente na odontologia, com diversas especialidades para oferecer um atendimento completo e personalizado pra você.

















Os Profissionais que Cuidaram do Seu Sorriso

Especialista e Mestre em Ortodontia, Doutor em Biologia Oral.

Técnica em higiene dental

Especialista em Ortodontia

Especialista em Estética, Prótese e Clínica Geral

Especialista em Prótese, Harmonização Facial e Clínica Geral

Especialista em Periodontia e Clínica Geral

Especialista em Implantes e Periodontia

Especialista em Odontopediatria, Clínica Geral e Endodontia
Veja o que Nossos Clientes Estão Falando Sobre Nós
Publicado em Daniel SantosTrustindex verifica se a fonte original da avaliação é Google. O atendimento foi maravilhoso, impecável como sempre, desde minha irmã Patrícia a mim e agora com o meu pai o atendimento/tratamento foram de excelente qualidade!! Ótimos profissionais!! Muito obrigada!!!Publicado em Deisiane FerreiraTrustindex verifica se a fonte original da avaliação é Google. ÓtimoPublicado em Cristiane Neves de CastroTrustindex verifica se a fonte original da avaliação é Google. Todos os profissionais são excelentes, recepcionistas, dentistas. Amo o cuidado de todos!Publicado em Daniela TrindadeTrustindex verifica se a fonte original da avaliação é Google. Sensacional!!! Todas muito educadas, atenciosas. Estou apaixonada!! Com certeza voltarei ❤️Publicado em Henrique BarbosaTrustindex verifica se a fonte original da avaliação é Google. Foi excelente Um ótimo atendimento ao chegar aí Pessoas muito educadas, excelentes profissionais vocês tem aí, E admiro muito a alegria a qual elas trabalham aí, sempre com um sorriso no rosto, e são bem prestativas 😉😀😍Publicado em Vany AlmeidaTrustindex verifica se a fonte original da avaliação é Google. Ha mutos anos trato dos meus dentes nesta clínica, excelente atendimento, hoje fui lá fui muito bem atendida pelo Doutor Gabriel, ótimo profissional, parabéns Alexandre magno pela sua equipePublicado em Poliana SouzaTrustindex verifica se a fonte original da avaliação é Google. Fiz uma limpeza dental com o Dr. Gabriel e fui muito bem atendida. Ele foi extremamente atencioso, cuidadoso e realizou um serviço de excelência. Pela primeira vez, fiz uma limpeza sem que minha gengiva fosse machucada. Super recomendo! Lembrando que o local é limpo,bem arejado, atendimento bom.Obrigada!Publicado em Vitor PessoaTrustindex verifica se a fonte original da avaliação é Google. A clínica é excelente! Fui muito bem atendido desde a recepção até o final do procedimento. Os dentistas são extremamente competentes, atenciosos e explicam tudo com clareza, o que me deixou muito mais confiante. O ambiente é limpo, confortável e moderno, transmitindo confiança. Recomendo para quem busca qualidade e profissionalismo no cuidado com a saúde bucal e não esteja preocupado com o valor pago.
A primeira avaliação na AGS Odontologia é gratuita. Esse momento é essencial para entendermos suas necessidades, avaliarmos sua saúde bucal e indicarmos o tratamento mais adequado para você. É sem custo e sem compromisso.
Sim! Facilitamos o pagamento com parcelamentos acessíveis, para que você consiga cuidar do seu sorriso com tranquilidade.
Nosso atendimento é acolhedor e respeita seu tempo. Explicamos cada etapa do tratamento com cuidado e, se necessário, oferecemos formas de controle da ansiedade para você se sentir seguro(a).
Sim! Temos um espaço pensado para os pequenos e uma equipe preparada para oferecer um atendimento leve, cuidadoso e sem traumas.
Trabalhamos com facetas em resina, lentes de porcelana, clareamento dental e muito mais. Tudo com técnica, segurança e foco em realçar a beleza natural do seu sorriso.